Cataract surgery is a transformative eye procedure that restores clarity to your vision. This can help you enjoy life with renewed focus and visual clarity. With knowledge of the preparation, procedure, recovery, and outcomes, you can make an informed decision regarding the surgery. Here are frequently asked questions about the cataract treatment process:
What Is Cataract Surgery?
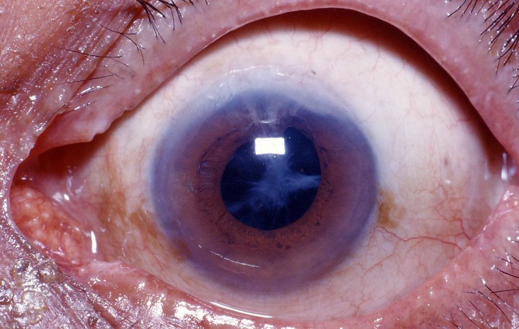
During cataract surgery, surgeons remove the hazy natural lens of the eye and replace it with an artificial intraocular lens (IOL). This procedure restores vision for individuals experiencing cloudy sight, glare, or poor night vision caused by cataracts. Clinicians apply the latest diagnostic and surgical technology to design personalized treatment regimens that align with each patient’s visual goals.
What Services Are Available for Surgery?
Intense Pulsed Light (IPL) Therapy is a treatment for dry eye syndrome. This recovery method may support post-operative comfort by activating tear secretion. Vision therapy involves customized eye exercises to enhance eye-brain coordination, which is beneficial for patients with additional visual challenges.
Complete eye exams are comprehensive evaluations designed to identify cataracts and other eye conditions. If a doctor can diagnose an issue, they can tailor a treatment program. Eye disease diagnosis and treatment involve specialized therapy for glaucoma or diabetic retinopathy, which may be present in conjunction with cataracts. Individualized optical services make specialty frames and lenses available to enhance vision after surgery.
How Do I Know If I Need Surgery?
Cataracts are a gradual condition, and symptoms may include foggy vision, difficulty reading, or trouble with night driving. An eye exam can verify the existence of cataracts and determine their effect on your sight. Through the examination, diagnostic equipment is used to assess your eye health and determine the most suitable course of action.
Are There Advanced Options for Eye Surgery?
Doctors use premium intraocular lenses (IOLs) to correct individual vision needs, such as remedying astigmatism or reducing reliance on glasses. Specialists select these premium lenses that will best suit your lifestyle, whether you prioritize sharp distance vision, clear reading vision, or a balance of both. Customized optical support service allows you to select lenses that provide the best vision after surgery.
Cataract surgery may also be coupled with treatment for other conditions, including dry eye syndrome or eye diseases, like glaucoma. Intense Pulsed Light (IPL) treatment is also offered to alleviate the symptoms of dry eyes, which can contribute to greater postoperative comfort. Eye disease diagnosis and treatment services offer complete care for those conditions that could affect your overall eye health.
What Is the Recovery Process Like?
Recovery from the surgery is typically quick, and the majority of patients may achieve improved vision a few weeks after. Eye exams post-surgery confirm your eyes are healing, and personalized optical support helps with the selection of appropriate lenses or frames to enhance your vision to its fullest potential. IPL therapy reduces dry eye symptoms, enhances tear quality, and supports a more comfortable recovery.
Take the Next Step Toward Clear Vision
A patient-centered approach defines the care model, emphasizing individualized vision needs from the initial comprehensive eye examination through post-surgical follow-up. The integration of advanced technology with skilled clinical staff provides a treatment experience that can improve patient outcomes. Specialists provide cataract surgery, dry eye treatment, and vision therapy with the aim of restoring clear, comfortable vision. Book a surgery appointment today.
- Achieving Facial Symmetry with Botox: A Comprehensive Guide
- How to Choose Safe and Effective Health Supplements
- Smile Confidently Wherever You Travel: How Cosmetic Dentistry Prepares You for Life’s Best Moments
- What You Need To Know About Hydrafacial for Acne-prone Skin
- How Collaborative Approaches Shape Modern Pediatric Therapy

